Osteoporosis adalah penyakit yang menyerang tulang dan membuatnya menjadi rapuh serta rentan terhadap patah. Penyakit ini sering disebut sebagai silent disease karena perkembangannya terjadi secara perlahan tanpa gejala yang jelas hingga terjadi patah tulang.
Kondisi ini lebih umum terjadi pada wanita di atas usia 50 tahun, tetapi pria juga bisa mengalaminya. Jika tidak ditangani dengan baik, osteoporosis dapat menyebabkan berbagai komplikasi serius yang mempengaruhi kualitas hidup seseorang.
Apa Itu Osteoporosis?

Osteoporosis adalah kondisi di mana kepadatan tulang menurun secara drastis sehingga membuatnya lebih mudah retak atau patah. Tulang yang paling sering terkena adalah:
- Tulang belakang (vertebrae)
- Tulang pinggul
- Tulang pergelangan tangan
Kondisi ini terjadi ketika tubuh kehilangan lebih banyak massa tulang daripada yang bisa diproduksi. Akibatnya, struktur tulang menjadi lebih keropos dan mudah patah meskipun hanya mengalami cedera ringan.
Penyebab Osteoporosis

Tulang mengalami proses regenerasi secara alami, tetapi seiring bertambahnya usia, kemampuan tubuh untuk membentuk tulang baru menjadi lebih lambat. Ada beberapa faktor yang dapat mempercepat kehilangan kepadatan tulang, antara lain:
Faktor Usia
Semakin bertambah usia, tulang secara alami menjadi lebih lemah. Wanita pascamenopause memiliki risiko lebih tinggi karena penurunan hormon estrogen yang berperan dalam menjaga kepadatan tulang.
Kekurangan Kalsium dan Vitamin D
Kalsium adalah mineral utama dalam pembentukan tulang. Jika asupan kalsium rendah, tubuh akan mengambilnya dari tulang, sehingga kepadatan tulang menurun. Vitamin D juga penting karena membantu tubuh menyerap kalsium dengan lebih baik.
Gaya Hidup Tidak Sehat
- Kurang aktivitas fisik
- Merokok
- Konsumsi alkohol berlebihan
- Diet rendah protein
Semua faktor ini dapat mempercepat hilangnya massa tulang dan meningkatkan risiko osteoporosis.
Faktor Genetik
Jika seseorang memiliki riwayat keluarga dengan osteoporosis, maka risiko terkena penyakit ini akan lebih tinggi.
Penggunaan Obat-obatan Tertentu
Beberapa obat seperti kortikosteroid yang digunakan untuk mengobati asma dan artritis dapat menyebabkan penurunan kepadatan tulang jika digunakan dalam jangka panjang.
Gejala Osteoporosis

Osteoporosis sering berkembang tanpa gejala yang nyata hingga tulang mengalami patah. Namun, beberapa tanda awal yang bisa diperhatikan meliputi:
- Postur tubuh mulai membungkuk akibat perubahan pada tulang belakang.
- Tinggi badan berkurang secara bertahap.
- Nyeri punggung kronis karena tulang belakang mulai melemah.
- Tulang mudah patah, bahkan akibat benturan ringan.
Jika mengalami gejala-gejala di atas, sebaiknya segera berkonsultasi dengan dokter untuk mendapatkan pemeriksaan lebih lanjut.
Komplikasi Osteoporosis

Jika tidak ditangani dengan baik, osteoporosis dapat menyebabkan berbagai komplikasi serius, seperti:
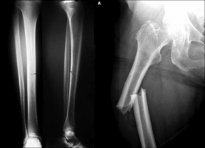
Patah Tulang Pinggul
Patah tulang pinggul adalah salah satu komplikasi paling serius dari osteoporosis, terutama pada lansia. Pemulihan bisa memakan waktu lama dan sering kali memerlukan operasi.
Patah Tulang Belakang
Fraktur pada tulang belakang dapat menyebabkan sakit punggung kronis dan perubahan postur tubuh yang semakin membungkuk.
Keterbatasan Mobilitas
Ketika tulang sering mengalami patah, penderita osteoporosis menjadi lebih sulit bergerak dan menjalani aktivitas sehari-hari. Hal ini bisa menyebabkan depresi dan isolasi sosial.
Siapa yang Berisiko Terkena Osteoporosis?

Beberapa kelompok memiliki risiko lebih tinggi terkena osteoporosis, yaitu:
- Wanita pascamenopause akibat penurunan hormon estrogen.
- Lansia, terutama di atas usia 65 tahun.
- Orang dengan berat badan rendah karena memiliki lebih sedikit massa tulang.
- Perokok dan peminum alkohol karena kebiasaan ini mempercepat hilangnya kepadatan tulang.
- Penderita penyakit kronis, seperti rheumatoid arthritis atau gangguan hormon tiroid.
Cara Mencegah Osteoporosis
Osteoporosis dapat dicegah dengan menerapkan pola hidup sehat sejak dini. Berikut beberapa cara efektif untuk menjaga kesehatan tulang:
Konsumsi Makanan Kaya Kalsium dan Vitamin D
Makanan yang tinggi kalsium dan vitamin D sangat penting untuk menjaga kepadatan tulang, seperti:
- Susu dan produk olahannya (keju, yogurt)
- Ikan berlemak (salmon, sarden)
- Sayuran hijau (bayam, brokoli)
- Kacang-kacangan dan biji-bijian
Jika asupan makanan kurang mencukupi, suplemen kalsium dan vitamin D dapat menjadi pilihan alternatif.
Rutin Berolahraga
Aktivitas fisik dapat membantu menjaga kepadatan tulang. Beberapa jenis olahraga yang disarankan:
- Latihan beban (angkat beban ringan)
- Jalan kaki atau jogging
- Yoga atau pilates untuk keseimbangan tubuh
Olahraga ini dapat membantu memperkuat tulang dan mengurangi risiko patah tulang akibat jatuh.
Hindari Rokok dan Alkohol
Rokok dan alkohol dapat menghambat penyerapan kalsium serta mempercepat hilangnya massa tulang. Mengurangi atau berhenti merokok dan mengonsumsi alkohol dapat membantu menjaga kesehatan tulang dalam jangka panjang.
Periksa Kesehatan Tulang Secara Rutin
Pemeriksaan bone density scan (DXA scan) bisa dilakukan untuk mengetahui kepadatan tulang. Jika terdeteksi mengalami osteoporosis dini, dokter dapat memberikan pengobatan yang tepat sebelum kondisi semakin parah.
Pengobatan Osteoporosis
Jika seseorang sudah terdiagnosis osteoporosis, ada beberapa metode pengobatan yang dapat dilakukan:
- Obat-obatan: Seperti bisphosphonates yang dapat membantu memperlambat hilangnya massa tulang.
- Terapis fisik: Untuk membantu memperkuat otot dan meningkatkan keseimbangan guna mengurangi risiko jatuh.
- Perubahan gaya hidup: Dengan memperbaiki pola makan dan meningkatkan aktivitas fisik.
Jaga Kesehatan Tulang Sejak Dini
Osteoporosis adalah penyakit yang dapat menyebabkan dampak serius jika tidak dicegah sejak dini. Meskipun lebih sering terjadi pada lansia, gaya hidup sehat bisa membantu mengurangi risikonya.
Dengan mengkonsumsi makanan bernutrisi, rutin berolahraga, dan menjalani pemeriksaan kesehatan secara berkala, kita dapat menjaga kesehatan tulang dan menghindari komplikasi osteoporosis di kemudian hari. Jangan abaikan kesehatan tulang karena itu adalah fondasi utama tubuh kita!